هشدار دندانپزشکان درباره عوارض لمینتهای بیکیفیت

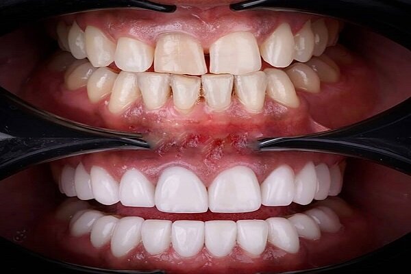
به گزارش بازرگانی خبرگزاری مهر، در پی افزایش مراجعه بیماران با شکایاتی از جمله ترکخوردگی، التهاب لثه و حساسیت دندانی پس از انجام لمینت، تعدادی از دندانپزشکان با هشدار نسبت به گسترش استفاده از لمینتهای بیکیفیت، خواستار آگاهیبخشی عمومی در این زمینه شدند.
دکتر محمدی، دندانپزشک زیبایی در تهران، با اشاره به مراجعات متعدد برای ترمیم یا حذف لمینتهای غیراستاندارد، گفت: بسیاری از این بیماران لمینت را در مراکز غیرمجاز یا توسط افراد غیرمتخصص انجام دادهاند که نهتنها نتیجه مطلوبی نگرفتهاند، بلکه دچار آسیبهای برگشتناپذیر شدهاند.
وی افزود: متأسفانه برخی افراد به دلیل تبلیغات فریبنده و قیمت پایین، بدون بررسی دقیق مواد مصرفی یا صلاحیت پزشک، اقدام به لمینت میکنند. این در حالی است که طراحی غیراصولی و استفاده از کامپوزیت یا سرامیک نامرغوب، میتواند منجر به پوسیدگی زودهنگام دندان یا تحلیل لثه شود.
تأکید بر انتخاب مراکز معتبر
دکتر محمدی توصیه کرد افرادی که قصد انجام لمینت در تهران را دارند، حتماً به کلینیکهایی مراجعه کنند که مجوز رسمی دارند و مواد مصرفی باکیفیت و روش طراحی دیجیتال را بهکار میبرند. وی گفت: انتخاب پزشک باتجربه و استفاده از تجهیزات استاندارد، کلید موفقیت در درمانهای زیبایی دندان است.
در سالهای اخیر، با گسترش خدمات زیبایی دندان، تعرفهگذاری نیز دچار نوسان شده و برخی مراکز بدون نظارت اقدام به تبلیغات گسترده در فضای مجازی کردهاند. همین موضوع سبب شده برخی بیماران فریب قیمتهای پایین را خورده و در نهایت مجبور به صرف هزینههای مضاعف برای ترمیم مشکلات ایجادشده شوند.
این مطلب، یک خبر آگهی بوده و خبرگزاری مهر در محتوای آن هیچ نظری ندارد.